IRA por NTA associada a suplemento de levedura de arroz: as vezes o "natural" não é seguro

Piora de função renal após troca valva aortica

Calcifilaxia: o que realmente muda sua prática no diagnóstico e manejo?

Dor lombar súbita e hipotensão: quando pensar em hemorragia renal espontânea?

DRC indeterminada ou você esqueceu de fazer o básico? Veja tudo aqui

Hipercalciúria: como investigar de forma prática no consultório nefrológico

IRA + Icterícia: Um Caso que Exige Investigação Detalhada
### 🩺 O CASO
Mulher, 47 anos, com diagnóstico prévio de dislipidemia. Iniciou por conta própria o suplemento Red Yeast Rice Cholestehelp (Kobayashi Pharmaceutical) para controle lipídico — 0 a 3 comprimidos/dia, por aproximadamente 9 meses.
- Dados basais relevantes: creatinina prévia de 1,09 mg/dL, TFGe de 44 mL/min/1,73m² (DRC prévia, provavelmente não diagnosticada como tal), urinálise normal.
- Sem uso de AINEs, antibióticos, contrastes ou outros nefrotóxicos reconhecidos.
- Cinco dias antes da admissão, surgiu náusea. **O suplemento foi interrompido espontaneamente nesse momento**.
- Ao chegar ao hospital: creatinina 4,26 mg/dL, sem oligúria, sem mialgia, sem artralgia.
### 🔬 A INVESTIGAÇÃO
O perfil urinário logo apontou o alvo: β2-microglobulina urinária elevada (109.677 μg/L), NAG elevado, glicosúria sem hiperglicemia, hipopotassemia e hipouricemia.
- **Síndrome de Fanconi adquirida: lesão tubular proximal difusa**.
- A tomografia descartou obstrução e mostrou rins preservados morfologicamente.
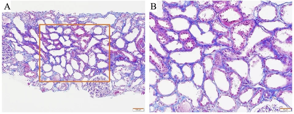
### A biópsia foi realizada para esclarecer o mecanismo.

- Histologia: dilatação tubular, achatamento e descamação do epitélio, cilindros hialinos — sem infiltrado intersticial difuso, sem tubulite.
- Laudo: necrose tubular aguda. Não nefrite tubulointersticial.
- Imunofluorescência e microscopia eletrônica sem alterações significativas.
- Dos 26 glomérulos, 14 com esclerose global — refletindo a DRC de base. Arteriosclerose moderada.
### 📊 EVOLUÇÃO
Com a suspensão do suplemento + corticosteroide (prednisona 40 mg/dia, 0,8 mg/kg), a função renal recuperou progressivamente.
- Creatinina no dia da admissão: 4,26 → 1,72 mg/dL em 28 dias.
- A β2-microglobulina também caiu de forma paralela, confirmando recuperação tubular.
- Os corticosteroides foram introduzidos com hipótese inicial de nefrite tubulointersticial — mas a biópsia mostrou NTA. O papel real do corticoide nessa recuperação permanece indefinido: pode ter havido recuperação espontânea pela simples retirada do nefrotóxico.
### ⚠️ O QUE ESSE CASO NÃO RESPONDE
- O agente tóxico específico ainda é desconhecido. Um agente potencial seria a A citrinina (toxina produzida por fungos) não é produzido pela levedura japonesa (Monascus pilosus).
- Rhabdomiólise foi excluída, afastando mecanismo indireto por miotoxicidade.
- O corticoide foi usado empiricamente antes da biópsia — não há evidência de benefício para NTA por tóxico.
- DRC prévia não diagnosticada provavelmente aumentou a susceptibilidade
- Contexto regulatório específico do Japão (recall emergencial de 236 casos até abril de 2024) — aplicabilidade direta ao Brasil é incerta, mas o princípio é universal.
### 🧠 OPINIÃO NEFROATUAL
O caso é simples na apresentação, mas importante no aviso. O padrão de Fanconi adquirido + NTA na biópsia + recuperação após retirada do suplemento fecha a relação causal de forma convincente, mesmo sem identificar o agente.
O que chama atenção aqui não é o diagnóstico — é o contexto. O paciente não estava tomando uma droga. Estava tomando um suplemento "para colesterol", comprado sem prescrição, rotulado como natural. E desenvolveu IRA grave com creatinina quadruplicada.
Para o nefrologista, o aprendizado é rever a anamnese de suplementos com o mesmo rigor que se revisa medicamentos. Fitoquímicos, chás concentrados, suplementos de controle lipídico ou glicêmico, e produtos à base de leveduras fermentadas entram nessa lista.
A DRC de base — mesmo em estágio precoce, como nesse caso (TFGe 44 basal) — amplifica o risco. O rim com néfrons sobrecarregados tem mais susceptibilidade para desenvolver toxicidade tubular.
### 💡 Pontos de aprendizado
- Suplemento "natural" não significa seguro para o rim — inclua suplementos na anamnese nefrotóxica de rotina.
- Síndrome de Fanconi adquirida (glicosúria sem hiperglicemia + hipopotassemia + hipouricemia + β2-MG elevada) é sinal de lesão tubular proximal difusa — rastrear nefrotóxico tubular.
- NTA na biópsia sem rhabdomiólise, sem isquemia, sem contraste → investigar suplementos, toxinas e drogas não convencionais.
- DRC prévia, mesmo leve, aumenta vulnerabilidade à nefrotoxicidade tubular.
- Corticoide foi usado aqui — mas sem biópsia prévia confirmando o mecanismo, seu benefício é especulativo na NTA tóxica.
### Você pergunta sobre suplementos no seu ambulatório de DRC — ou só revisa os remédios da receita?