
Kt/V peritoneal na prática: como calcular e como interpretar
Confere como calcular e interpretar o KtV na diálise peritoneal
Valkercyo Feitosa
4 dias atrás

Kt/V peritoneal na prática: como calcular e como interpretarConfere como calcular e interpretar o KtV na diálise peritoneal
Valkercyo Feitosa
4 dias atrás

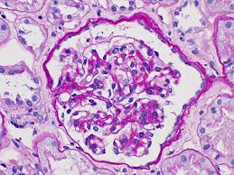
Microangiopatia trombótica na Nefrite Lúpica: Quando pensar em EculizumabeNo lúpus, a MAT não é só um diagnóstico — é um mecanismo. E o tratamento depende da causa. Confere esse resumo de como organizar a investigação
Valkercyo Feitosa
4 dias atrás

Infliximab na Nefrite por Inibidores de CheckpointInfliximabe surge como terapia promissora na nefrite por checkpoint inhibitors grau III–IV, acelerando a recuperação renal quando associado ao corticoide. Com forte racional biológico (TNF-dependência), pode ser peça-chave nos casos graves ou refratários — mas evidência ainda é observacional.
Luís Sette
4 dias atrás

Hiperaldosteronismo primário no Brasil: o que você realmente não pode esquecerHiperaldosteronismo primário é causa frequente e subdiagnosticada de hipertensão resistente — e a hipocalemia nem sempre está presente. Interpretar corretamente aldosterona/renina e indicar espironolactona pode mudar prognóstico cardiovascular e renal — e até curar alguns pacientes.
Luís Sette
4 dias atrás

Imunossupressão no Transplante Renal do Idoso: Existe Esquema Específico?Não existe ainda um esquema imunossupressor específico superior para transplantados renais idosos — estratégias com tacrolimus reduzido + everolimus não melhoraram sobrevida, função renal ou infecções versus esquema padrão. Os resultados reforçam que imunossenescência reduz rejeição, mas não elimina riscos infecciosos ou metabólicos. Hoje, a melhor abordagem continua sendo individualizar o esquema conforme perfil clínico e risco global do paciente.
Valkercyo Feitosa
13 dias atrás

Imprecisões na avaliação da função renal: quando o número machuca mais que a doençaImprecisões nas equações de TFGe podem gerar mudanças artificiais na função renal, especialmente na transição do cuidado pediátrico para o adulto. Essas variações não explicadas causam ansiedade, perda de confiança e até erros na condução clínica. Cabe ao nefrologista contextualizar os números e reduzir o sofrimento do paciente por meio de comunicação clara e interpretação clínica adequada.
Valkercyo Feitosa
13 dias atrás

Como investigar e como eu trato: Hiponatremia refratária no consultórioHiponatremia crônica refratária exige investigação fisiológica — especialmente osmolaridade urinária e capacidade real de excreção de água livre. Restrição hídrica isolada frequentemente falha no SIADH, sendo comuns estratégias com carga osmótica (ureia, sal) ± diurético de alça. No ambulatório, o objetivo é correção lenta, segura e funcional — não normalização imediata do sódio.
Luís Sette
13 dias atrás

FA e Anticoagulação na DiáliseAnticoagulação no paciente em diálise com fibrilação atrial exige equilíbrio delicado entre risco tromboembólico e risco hemorrágico. A decisão deve ser individualizada, considerando CHA₂DS₂-VASc, HAS-BLED, histórico de sangramento e contexto clínico global. Mais do que seguir scores isoladamente, o manejo exige julgamento clínico e discussão compartilhada com o paciente.
Luís Sette
13 dias atrás

Desmame do corticoide na Nefrite LúpicaDesmame de corticoide na nefrite lúpica já não precisa ser lento nem padronizado. A KDIGO 2024 reforça esquemas reduzidos, individualizados e guiados pela resposta renal, com menos toxicidade e mesma eficácia.
Valkercyo Feitosa
20 dias atrás

Síndrome Pós-Diálise: quando o problema não é a sessão, é o depoisMuitos pacientes em hemodiálise não “ficam cansados”: eles perdem o dia após a sessão. A Síndrome Pós-Diálise é real, multifatorial e subdiagnosticada — e olhar além do Kt/V é essencial para cuidar do que acontece depois da máquina.
Luís Sette
20 dias atrás

Como utilizar os trombolíticos no cateter de hemodiálise com disfunção!Trombolíticos intraluminais (tPA ou uroquinase) são ferramentas eficazes para restaurar rapidamente o fluxo do cateter de hemodiálise com suspeita de trombose. Devem ser usados de forma protocolizada e precoce, lembrando que o efeito é temporário e falhas recorrentes indicam troca do cateter.
Valkercyo Feitosa
20 dias atrás

Gasometria venosa pode substituir a arterial? O que realmente dá pra usar na práticaGasometria venosa pode substituir a arterial em muitas situações clínicas, com excelente concordância para pH, bicarbonato e lactato. Entender quando são equivalentes — e quando não são evita punções desnecessárias sem perder segurança clínica.
Luís Sette
20 dias atrás

DRC indeterminada ou você esqueceu de fazer o básico? Veja tudo aqui DRC “indeterminada” raramente é falta de diagnóstico — quase sempre é falta de método. Tempo de evolução, urina bem avaliada, USG renal e história clínica dirigida mudam conduta e evitam erros comuns na prática nefrológica.
Luís Sette
25 dias atrás

Hipercalciúria: como investigar de forma prática no consultório nefrológicoHipercalciúria não é diagnóstico — é um sinal. Antes de rotular como “idiopática”, diferenciar hipercalcemia vs. normocalcemia e investigar causas tubulares, hormonais e granulomatosas muda conduta, prognóstico e evita DRC.
Luís Sette
25 dias atrás

Injeção de celulas autóloga no rim: rilparencel pode reduzir o declínio da TFGe?Terapia celular autóloga intrarrenal (rilparencel) surge como possível estratégia para reduzir o declínio da TFGe em pacientes com nefropatia diabética avançada (TFGe 20–50). Em um estudo fase 2, a aplicação bilateral programada foi associada a desaceleração significativa da perda de função renal, sugerindo um caminho promissor para futuros tratamentos.
Valkercyo Feitosa
27 dias atrás

Vitamina D reduz o risco de diabetes pós-transplante em quem tem síndrome metabólica?Em uma coorte de transplantados renais sem diabetes tratado, níveis mais baixos de 25(OH)vitamina D foram associados a maior risco de diabetes pós-transplante, especialmente em pacientes com síndrome metabólica. O risco de DMPT aumentou progressivamente com a carga de critérios metabólicos, sugerindo que vitamina D pode ser um fator modificável em pacientes de alto risco.
Valkercyo Feitosa
27 dias atrás

Rituximabe muda o jogo na síndrome nefrótica recidivante do adulto — agora com evidência de ensaio clínicoUm RCT no JAMA 2025 mostrou que o rituximabe reduziu em ~84% o risco de recaída em adultos com síndrome nefrótica recidivante/corticodependente, com alta taxa de remissão sustentada. Veja como esse estudo reposiciona o rituximabe como terapia de manutenção e pode ajudar na autorização pelos convênios.
Luís Sette
2 meses atrás

Sacubitril/Valsartana na DRC: proteção renal real ou nem tanto?Sacubitril/valsartana na DRC: seguro, com efeito antiproteinúrico semelhante ao BRA, mas ainda sem comprovação robusta de “nefroproteção clássica” em DRC isolada. No cenário cardiorrenal, os dados sugerem mais benefício do que risco, desde que haja monitorização e ajuste de dose.
Luís Sette
2 meses atrás

Obesidade na Doença Renal Policística: outras estretégias para proteção renalEste trabalho de coorte real reforça que gordura visceral está ligada a pior função renal e progressão mais rápida na DRPAD, e pode até atenuar a resposta ao tolvaptan. Obesidade não é “detalhe”: é modificador de doença e deve entrar no centro do manejo nefrológico.
Valkercyo Feitosa
2 meses atrás

Acesso vascular em HD: uma estratégia mais seletiva para FAV pode reduzir intervenções, custo e sofrimentoNada mais frustrante para o nefrologista do que uma FAV que evolui com falência na maturação, certo? Confere esse artigo que fala sobre uma estratégia mais direcionada para o paciente, selecionando pacientes com maior risco de falência de FAV a receberem uma prótese vascular
Valkercyo Feitosa
2 meses atrás