
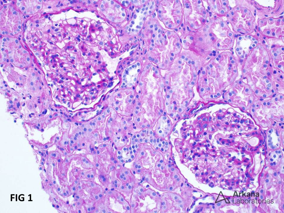
Corticoide na Nefropatia por IgA segundo o KDIGO 2025
O novo KDIGO 2025 coloca o corticoide no seu devido lugar: uso seletivo, tempo limitado e risco monitorado. Budesonida direcionada entra como uma opção moderna e segura.
Valkercyo Feitosa
2 dias atrás